深圳市联合宠物医院

活动篇| 啊,让你的宠物张张嘴

日期: 2021-06-22
浏览次数: 0
活动篇| 啊,让你的宠物张张嘴

牙吸收病——猫咪最常见的牙病之一

发病率极高

也被称为:猫牙破齿吸收性病变或者牙颈部病变

专业名称:

牙颈部非龋性缺损(Non-carious cervical lesion)

是由破齿细胞引起的一系列牙齿病变过程。

活动篇| 啊,让你的宠物张张嘴

病因及诊断方法

首先

牙吸收病的病因一直是个谜

该病多发生于

臼齿和前臼齿的颊面的牙齿龈下部位

所以通常肉眼观察无法诊断

需要用更精准的诊断方式:拍摄专门的牙齿X光片




牙吸收病基于影像学分型——分为1型,2型,3型

活动篇| 啊,让你的宠物张张嘴
活动篇| 啊,让你的宠物张张嘴
活动篇| 啊,让你的宠物张张嘴
活动篇| 啊,让你的宠物张张嘴

牙吸收病的程度分级

1级

早期的牙吸收病变只影响牙骨质层而还未延伸到牙本质,病灶较小

活动篇| 啊,让你的宠物张张嘴

牙吸收病变延伸至牙本质 ,但并无影响

活动篇| 啊,让你的宠物张张嘴
活动篇| 啊,让你的宠物张张嘴

2级

3级

牙吸收病影响到牙髓腔, 出现髓腔吸收

活动篇| 啊,让你的宠物张张嘴
活动篇| 啊,让你的宠物张张嘴

 牙冠和牙根的病灶严重度相等

活动篇| 啊,让你的宠物张张嘴
活动篇| 啊,让你的宠物张张嘴

4级A型

牙根的病灶比牙冠严重

活动篇| 啊,让你的宠物张张嘴
活动篇| 啊,让你的宠物张张嘴

4级C型

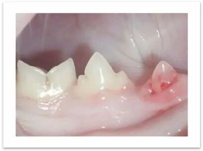
5级

牙的残迹模糊只有牙的影子,牙龈已覆盖原来牙冠的位置

活动篇| 啊,让你的宠物张张嘴
活动篇| 啊,让你的宠物张张嘴

牙吸收病的症状

大多数病猫无临床症状,部分猫会出现流口水症状。

其它症状包括牙龈出血,牙龈增生或咀嚼困难等

一些猫在采食过程中会出现食物掉落的情况

(尤其是在采食较硬的食物时)

另外咀嚼时可能有嘶嘶声或动作异常

常见有炎症疼痛,骨髓炎,牙槽骨膨大,牙根硬化等

活动篇| 啊,让你的宠物张张嘴

牙槽骨膨大

另外,牙吸收病会加剧其它牙病的发生以及危害性

活动篇| 啊,让你的宠物张张嘴

其它牙病

牙菌斑

活动篇| 啊,让你的宠物张张嘴

图中红色为染色后的牙菌斑

可以清晰的看到其分布情况

牙结石

初级阶段

活动篇| 啊,让你的宠物张张嘴

1级 CS轻度  分散,小于1/3牙齿表面

中级阶段

活动篇| 啊,让你的宠物张张嘴

2级 CM中度 1/3到2/3牙齿

后期阶段

活动篇| 啊,让你的宠物张张嘴

3级 CH严重   >2/3牙齿表面,且发展到牙龈下

牙龈炎

由于长期受牙菌斑和牙结石的刺激

牙龈会发红发炎,逐渐萎缩后退

活动篇| 啊,让你的宠物张张嘴

轻度炎症,探龈不出血;

中度炎症,探龈时出血;

如果牙龈炎严重的话通常会成牙周炎

牙龈炎

牙周炎也分四个阶段

活动篇| 啊,让你的宠物张张嘴

牙龈发炎:

单纯的牙龈发炎,简单治疗可以恢复

活动篇| 啊,让你的宠物张张嘴

初期牙周病:

在牙根的部分有发炎和肿胀,口气加重

在这个阶段,通过我们联合的专业治疗

可使其免于进一步恶化

活动篇| 啊,让你的宠物张张嘴

中期牙周病:

由于遭受细菌感染,牙龈部分出现流血现象

不仅临床上有口臭现象,而且会影响饮食习惯

若不及时治疗,这阶段是牙周病恶化的开始

活动篇| 啊,让你的宠物张张嘴

末期牙周病:

病菌逐渐侵蚀牙龈甚至整颗牙齿

严重者病菌会散布到全身各个器官

心血管、心脏、肺脏和肝肾等而产生后遗症

活动篇| 啊,让你的宠物张张嘴
活动篇| 啊,让你的宠物张张嘴

日常注重刷牙

偶尔专业洗牙

对这些可预见的牙病是有效的防范措施

对不可预见的牙吸收病

通过每年至少一次口腔内探查和全口腔牙齿X线影像检查是早发现早治疗才是对付此病最佳选择

活动篇| 啊,让你的宠物张张嘴

618福利

相信各位宠主已经对

牙吸收病和其它牙病有了一些初步的了解了

所以这次趁618来临之际

联合宠物医院友好猫专科后海院

给各位宠主带来了

宠物爱牙团购套餐

活动篇| 啊,让你的宠物张张嘴

团购套餐包含:

超声波洁牙与抛光套餐(1470元)

+

全口牙片检查(700元)

原价:¥ 2170

团购价:¥ 618

活动期间

10人拼团可免费升级五分类血常规

50人拼团再赠送麻醉前心超检查

100人拼团再赠送麻醉前生化检查


活动时间:2021年6月8号-2021年6月30号

活动地点:联合宠物医院友好猫专科后海院

购买方式:

先扫码进入拼团群

拼团并成团成功即可付款购买

活动篇| 啊,让你的宠物张张嘴

拼团群

活动篇| 啊,让你的宠物张张嘴

购买链接

温馨提示:

活动时间截止至2021年6月30日

活动说明:活动详情可扫码进入拼团群咨询



活动篇| 啊,让你的宠物张张嘴

联合宠物医院友好猫专科后海分院

联合宠物医院友好猫专科后海院,以齿科为特色。设有专门的动物齿科手术室,拥有动物齿科DR影像系统,齿科X光机,口腔无痛麻醉注射仪,动物专用牙科治疗工作台,澳洲IM3,丹麦古氏动物专用牙科器械,齿科修复耗材,牙科专用灭菌消毒机,根管治疗设备,是深圳引进最全面牙科设备的动物医院。


联合宠物医院友好猫专科后海院

联系方式:0755-86528120

24H联系电话:18128809917

地址:深圳市南山区后海大道后海名苑居106号


明星专科医师

活动篇| 啊,让你的宠物张张嘴
活动篇| 啊,让你的宠物张张嘴

Children's Day



关闭窗口】【打印
分享到:
Copyright ©2005 - 2013 深圳市联合宠物医院
犀牛云提供企业云服务
地址:深圳市龙华新区民治街道办民治大道水尾二区12栋

电话:18126094103




电话:18126094103

传真:+86 0755-2788 8009
邮编:330520
  • 点击扫描