深圳市联合宠物医院

猫咪多囊肾究竟有多可怕?

日期: 2021-09-06
浏览次数: 72

猫咪多囊肾究竟有多可怕?




身为猫奴的你

是否了解关于猫咪致命遗传病吗?

除了肥心的突发、折耳猫的软骨病

“多囊性肾病”也是一个

发病率高且常见的遗传病

今天联合君带大家认识一下
什么叫多囊肾(PKD)?

猫咪多囊肾究竟有多可怕?

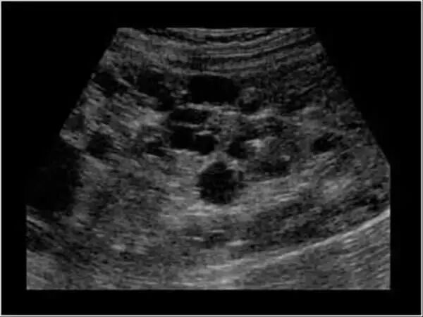
什么是多囊肾(PKD)?

多囊肾(PKD)是一种历史悠久的遗传病。这种遗传病不仅人类会患上,猫咪也逃不过。患病猫的肾脏中出现充满液体的包囊不断增大挤压正常肾脏结构,慢慢导致肾脏机能不足最终衰竭。

猫咪多囊肾究竟有多可怕?

一般来说,患猫到中年(5-7岁)之后,肾脏功能才受到可察觉的影响,出现机能不足。


它是一种缓慢发展的遗传性肾病,主要遗传长毛猫,其中波斯猫已被证实为通过单一显性遗传基因遗传给子代波斯猫。

猫咪多囊肾究竟有多可怕?

也常见于其它品种如喜马拉雅猫、英国短毛猫、美国短毛猫、布偶猫、苏格兰折耳猫等。

️猫咪不会说话

很多痛都在默默忍受

在日常生活中 作为铲屎官我们

要怎么发现它的异常呢?

猫咪多囊肾究竟有多可怕?

* 排尿习惯改变:多饮多尿

* 食欲下降、精神沉郁萎靡

* 被毛粗乱、贫血、高血压

猫咪多囊肾究竟有多可怕?

* 呕吐/腹泻,可能带血

* 神经症状:抽搐或失明

* 病发肝囊肿或子宫囊肿


铲屎官要如何护理呢?

1、需要治疗的除了多囊肾,还要多多注意并发症。呕吐、慢性贫血、血压增高以及腹泻等,一旦出现这种情况铲屎官们赶紧把宝贝们送医治疗


️2、在日常饮食中,建议食用高水分、高蛋白质饮食,维持食欲。


3️、日常饮食一定要注意热量摄入,尽量减缓多囊肾的发展哦~






今日话题


你还知道猫咪哪些遗传病吗?



猫咪多囊肾究竟有多可怕?

  Summer Time  

扫码 ╳ 关注我们

新浪微博|联合宠物医院

官方网站|联合宠物医院


猫咪多囊肾究竟有多可怕?

你们点点“分享”,给我充点儿电吧~



Copyright ©2005 - 2013 深圳市联合宠物医院
犀牛云提供企业云服务
地址:深圳市龙华新区民治街道办民治大道水尾二区12栋

电话:18126094103




电话:18126094103

传真:+86 0755-2788 8009
邮编:330520
  • 点击扫描